「横顔が気になる」
「口元が前に出ていると言われた」
「口が閉じにくい」
このようなお悩みは、上顎前突(じょうがくぜんとつ)と呼ばれる不正咬合が原因かもしれません。
上顎前突は一般的に“出っ歯”と呼ばれ、前歯や上あごが前方に突出している状態です。見た目だけでなく、かみ合わせや発音、口腔内の乾燥にも影響することがあります。
日本橋・人形町エリアで矯正歯科をお探しの方へ、上顎前突の原因や治療法、抜歯の判断基準について詳しく解説します。
上顎前突とは
上顎前突とは、上の前歯または上あごの骨が前方に出ている状態を指します。
歯だけが前に出ている「歯性上顎前突」と、骨格が原因となる「骨格性上顎前突」に分かれます。
軽度の場合は見た目の問題が中心ですが、重度になると口が閉じにくい、前歯が折れやすい、発音がしづらいなどの機能的な問題も生じます。
上顎前突の原因
上顎前突の原因は大きく3つに分かれます。
骨格的な要因:上顎が大きく成長しすぎた、あるいは下顎の成長が足りない。
歯の傾斜:顎のサイズは正常でも、前歯だけが外側に傾いている。
習慣の影響:指しゃぶり、舌で前歯を押す癖、口呼吸など。 当院では、セファロ分析を用いて「骨格の問題か、歯の生え方の問題か」を科学的に特定します。
成長期のお子さまの場合は骨格へのアプローチが可能ですが、大人の場合は歯の移動による治療が中心となります。
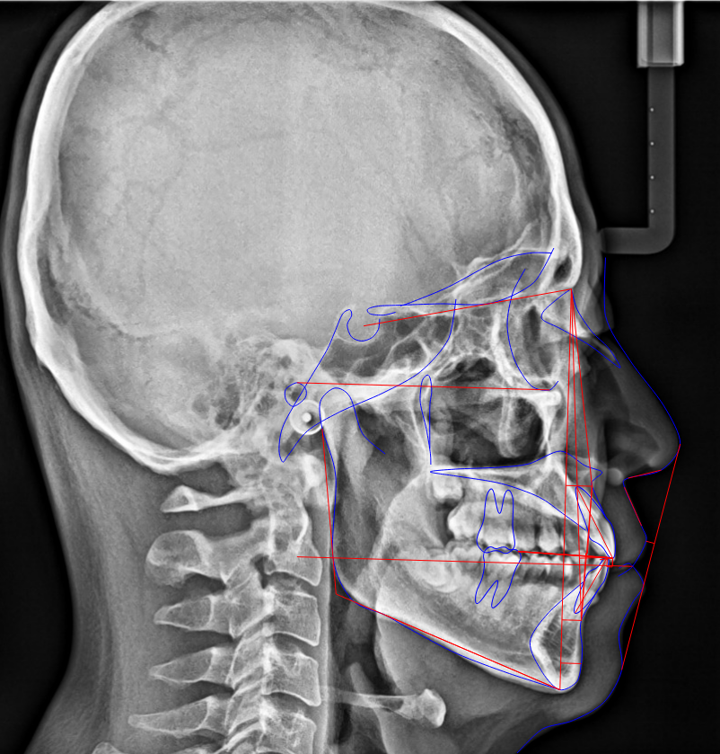
当院では、全ての患者様に矯正歯科にしか置いてないセファロレントゲン(側貌頭部エックス線規格写真)という機械を使って分析を行っています。
「なんとなく下げる」のではなく、日本人の骨格黄金比と比較し、あなたの顔立ちにおいて「あと何ミリ下げるのが望ましいか」を、ミリ単位の数値で算出します。

抜歯が必要なケース
口元の突出感が強い場合や、歯を並べるスペースが不足している場合には抜歯が必要になることがあります。
抜歯を行うことで前歯を大きく後方へ移動でき、Eラインの改善や口元のバランスを整えることが可能になります。
ただし、すべての上顎前突で抜歯が必要というわけではありません。
- セファロで導くEライン:
鼻先と顎先を結んだラインに対し、唇がどこにあるのが理想か。数ミリ単位でシミュレーションします。 - 「下げすぎ」の防止:
無理に下げすぎると、かえって老けて見えたり、口元が寂しい印象になったりします。CTで骨の厚みを見ながら、安全かつ美しい限界点を探ります。 - 中高生の2期治療:
成長期に骨格のバランスを整えることで、将来の抜歯リスクを下げ、より自然な仕上がりを目指せます。
非抜歯で治療できるケース
歯の傾きが主な原因の場合や、軽度の突出であれば非抜歯で治療できることもあります。
歯列の拡大やIPR(歯の幅をわずかに調整する方法)によってスペースを確保する方法もあります。
精密検査を行い、顔貌や骨格のバランスを考慮したうえで治療方針を決定します。

理想の角度が分かっても、土台となる骨の厚みが足りなければ無理な移動はできません。
CTを用いることで、3次元的に歯の根っこの位置と骨の厚みを確認します。
これにより、歯根を傷めるリスクを最小限に抑えつつ、安全に限界まで口元を下げるプランが作成可能になります。
上顎前突の治療方法
治療方法には以下の選択肢があります。
・マウスピース矯正(インビザラインなど)
・ワイヤー矯正(表側・裏側)
・外科矯正(重度の骨格性の場合)
見た目の改善を重視する場合は、横顔の変化やEラインのバランスも考慮して治療計画を立てます。
治療期間の目安
軽度の場合は1年〜1年半程度、
抜歯を伴うケースでは2年前後が目安となります。
治療期間は歯の移動量や装置の種類によって異なります。
よくある質問
治療期間と費用の目安
治療方法や難易度によって費用は異なります。
| 項目 | 内容 |
|---|---|
| 治療期間 | 約2年〜3年(個人差あり) |
| 矯正治療費 | 費用は装置の種類や治療内容によって異なります。詳しくはカウンセリング時にご説明します。 |
| 処置料 | 5,500円(税込)/回 |
| お支払い方法 | 分割・カード対応 |
詳しい費用については、料金ページをご覧いただくか、無料相談にてご説明いたします。
\ まずは相談だけでも大丈夫です。抜歯・非抜歯の可能性、期間や費用の目安を丁寧にお伝えします。 /
- 矯正治療は決して安い投資ではありません。だからこそ、当院では「結局、総額でいくらかかるのか」という不安を解消し、内容に見合った誠実な価格提示を心がけています。
- 無理のない「院内無利子分割」のご相談
「一度に大きな金額を払うのは難しい」という方のために、金利手数料がかからない院内分割やカード払いもご用意しています。月々の負担を抑えながら、将来の自分への投資を今日からスタートしていただけます。 - 「安さ」よりも「質と結果」への投資
当院は矯正治療費の他、毎回の処置料は5,500円(税込)です。
一見、総額提示(トータルフィー)の医院の方が安く感じるかもしれませんが、実は通院期間を含めて計算すると、多くの場合、総額に大きな差はありません。
リスク・副作用について
矯正治療には、すべての医療と同様にリスクや副作用が伴う可能性があります。
事前に十分な説明を行い、ご理解いただいたうえで治療を開始します。
- 装置装着後や調整後に痛みや違和感が生じることがあります
- 歯根吸収が起こる可能性があります
- 歯肉退縮(歯ぐきが下がる)が起こる場合があります
- 治療期間が予定より延びることがあります
- 治療後は保定装置(リテーナー)の装着が必要です
リスクを最小限に抑えるためにも、適切な診断と定期的な通院が重要です。当院では、無理のない範囲で安全性を優先した治療計画をご提案しています。
\ まずは相談だけでも大丈夫です。抜歯・非抜歯の可能性、期間や費用の目安を丁寧にお伝えします。 /



