叢生の症例
叢生(歯がガタガタ・八重歯)の改善症例をご紹介します。表側矯正・マウスピース矯正の治療前後を写真付きで掲載し、治療方法、期間、費用、リスクもご案内しています。叢生矯正を検討されている方は、症例ごとの違いも参考にご覧ください。
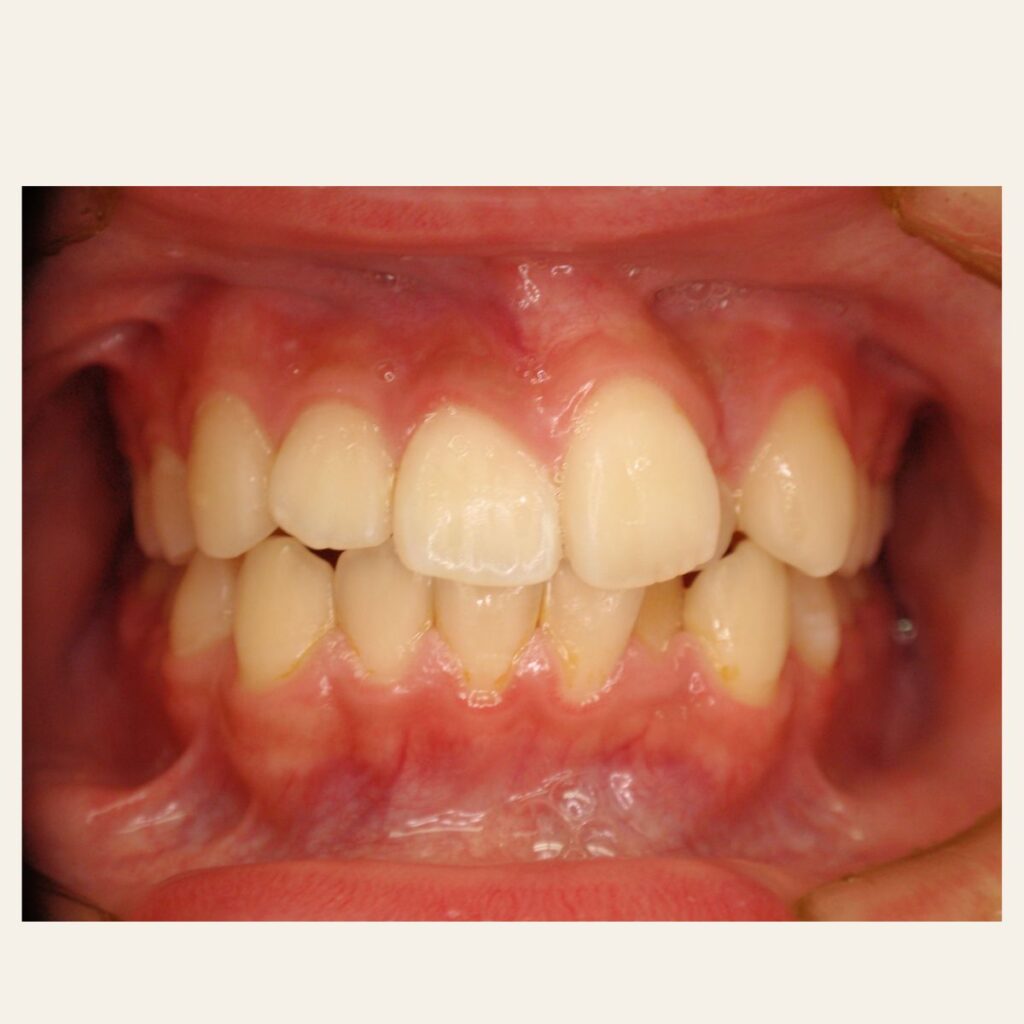
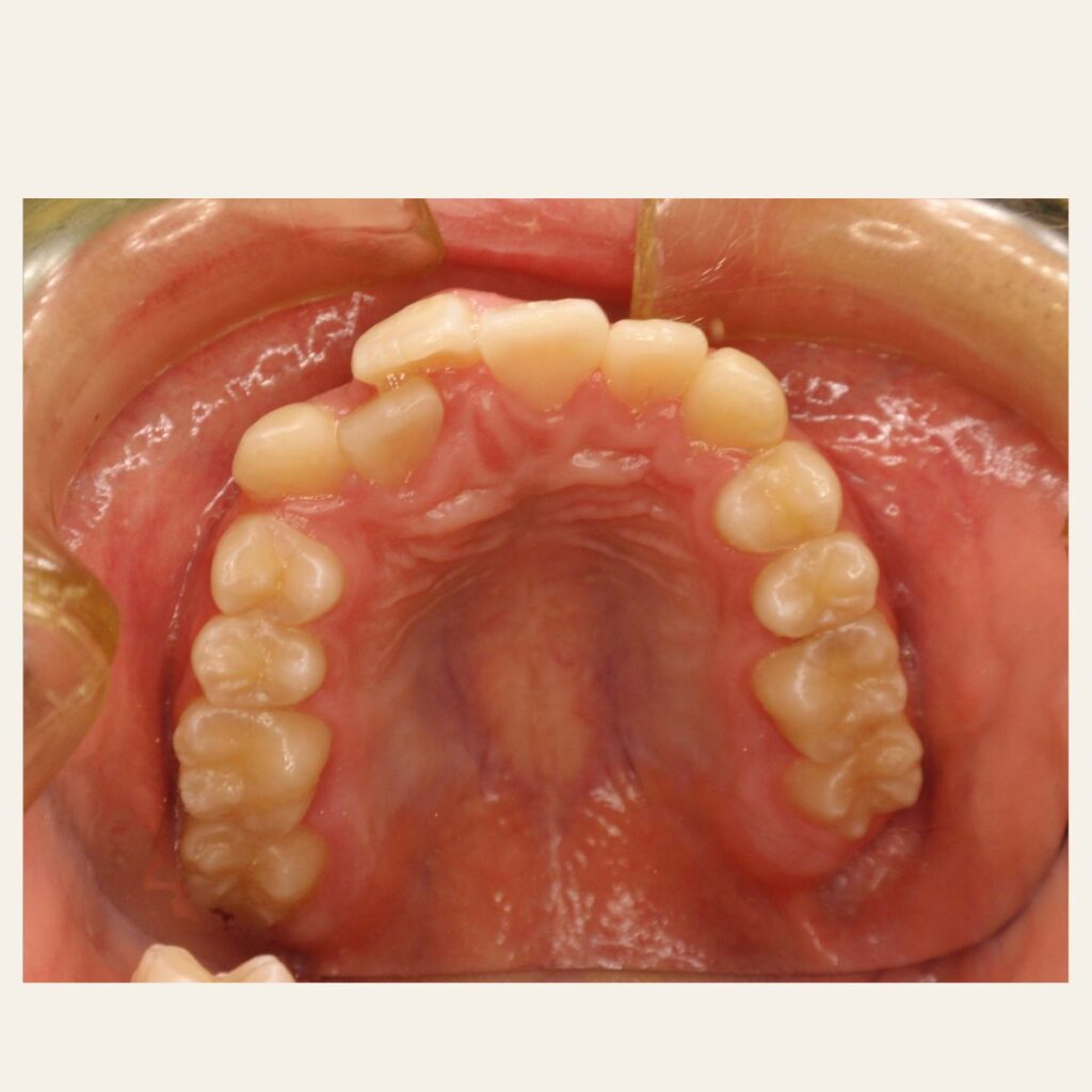
叢生の症例1(表側矯正)
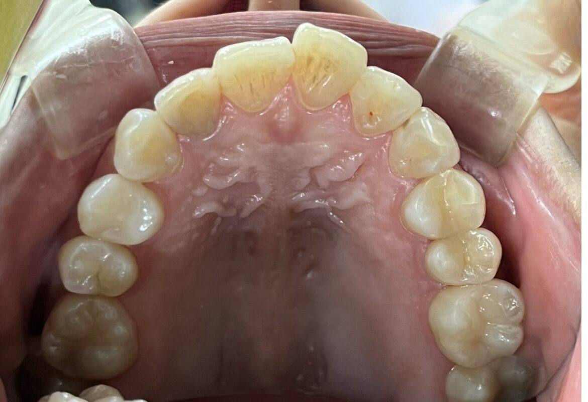
治療前後(BEFORE/AFTER)






症例情報
| 年齢 | 10代男性 |
| 主訴 | 前歯のガタガタ |
| 診断 | 叢生 |
| 治療方法 | 上下・表側ワイヤー矯正(今回抜歯はしていません) |
| 治療期間 | 11か月 |
| 費用 | 1,050,500円(税込) |
| リスク・副作用 | 痛み/歯根吸収/歯肉退縮/後戻り など |
本症例では歯が重なっている叢生と、前から見ると曲がっている状態でした。
歯列のスペースを確保しながら歯並びを整えるため、
表側矯正を用いて治療を行いました。
治療後は歯並びとかみ合わせが改善し、
見た目だけでなく歯磨きもしやすい状態になりました。
※虫歯の治療は矯正治療後に仕上げています。
※正中を合わせるには抜歯等が必要になる場合があります。
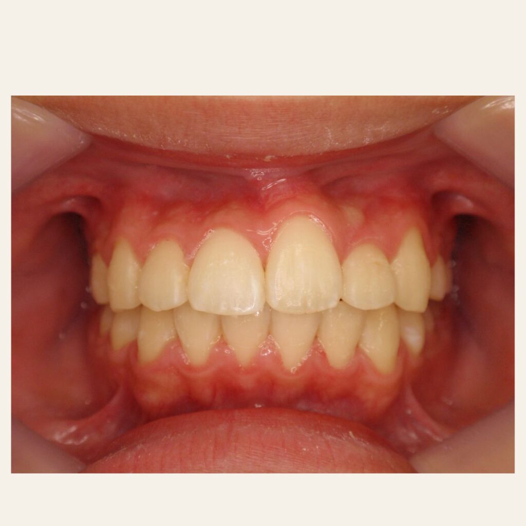
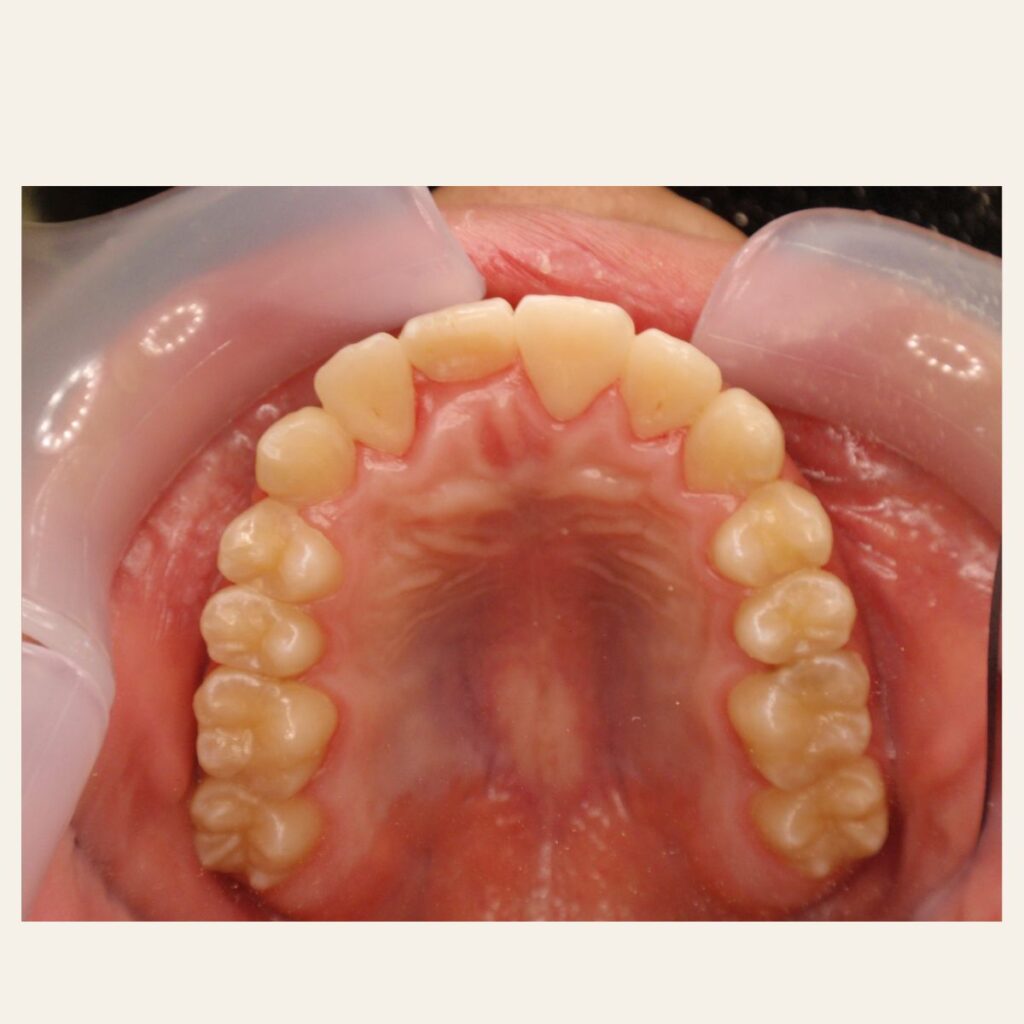
叢生の症例2(マウスピース矯正)
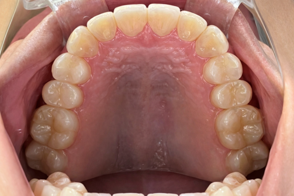
治療前後(BEFORE/AFTER)




症例情報
| 年齢 | 40代女性、叢生 |
| 主訴 | 左前歯のガタガタ |
| 診断 | 叢生 |
| 治療方法 | 上下・マウスピース矯正(抜歯はしていません) |
| 治療期間 | 約1年 |
| 費用総額 | 660,000円(税込) |
| リスク・副作用 | 痛み/歯根吸収/歯肉退縮/後戻り など |
本症例では左側前歯が重なっている叢生状態でした。
若干の下顎前歯のガタガタも併せて治したいというご希望でした。
歯列のスペースを確保しかみ合わせも意識しながら歯並びを整えるため、下顎も含めて上下マウスピース矯正を用いて治療を行いました。
治療後は歯並びとかみ合わせが改善し、
見た目だけでなく歯磨きもしやすい状態になりました。
※虫歯・着色等の治療は矯正治療後に仕上げています。
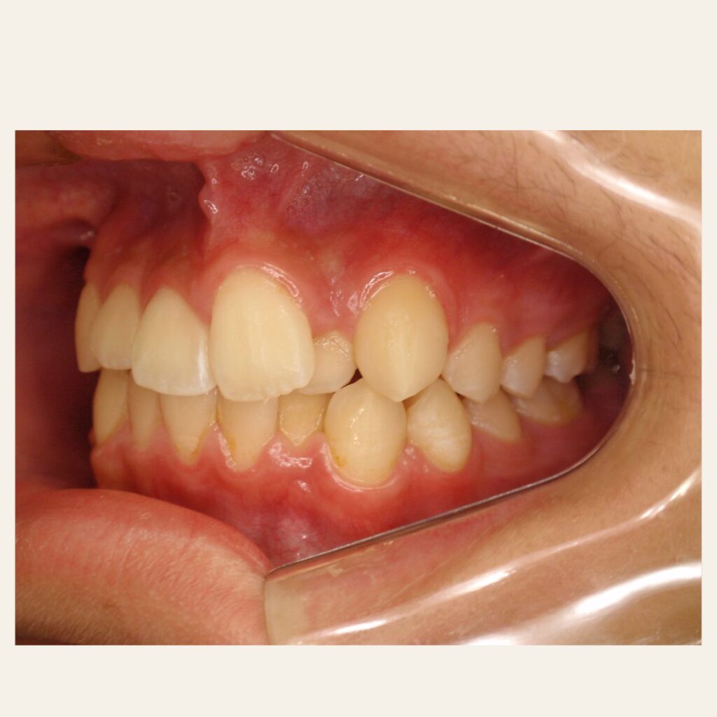
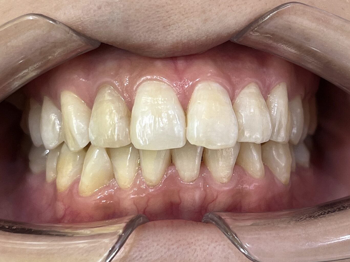
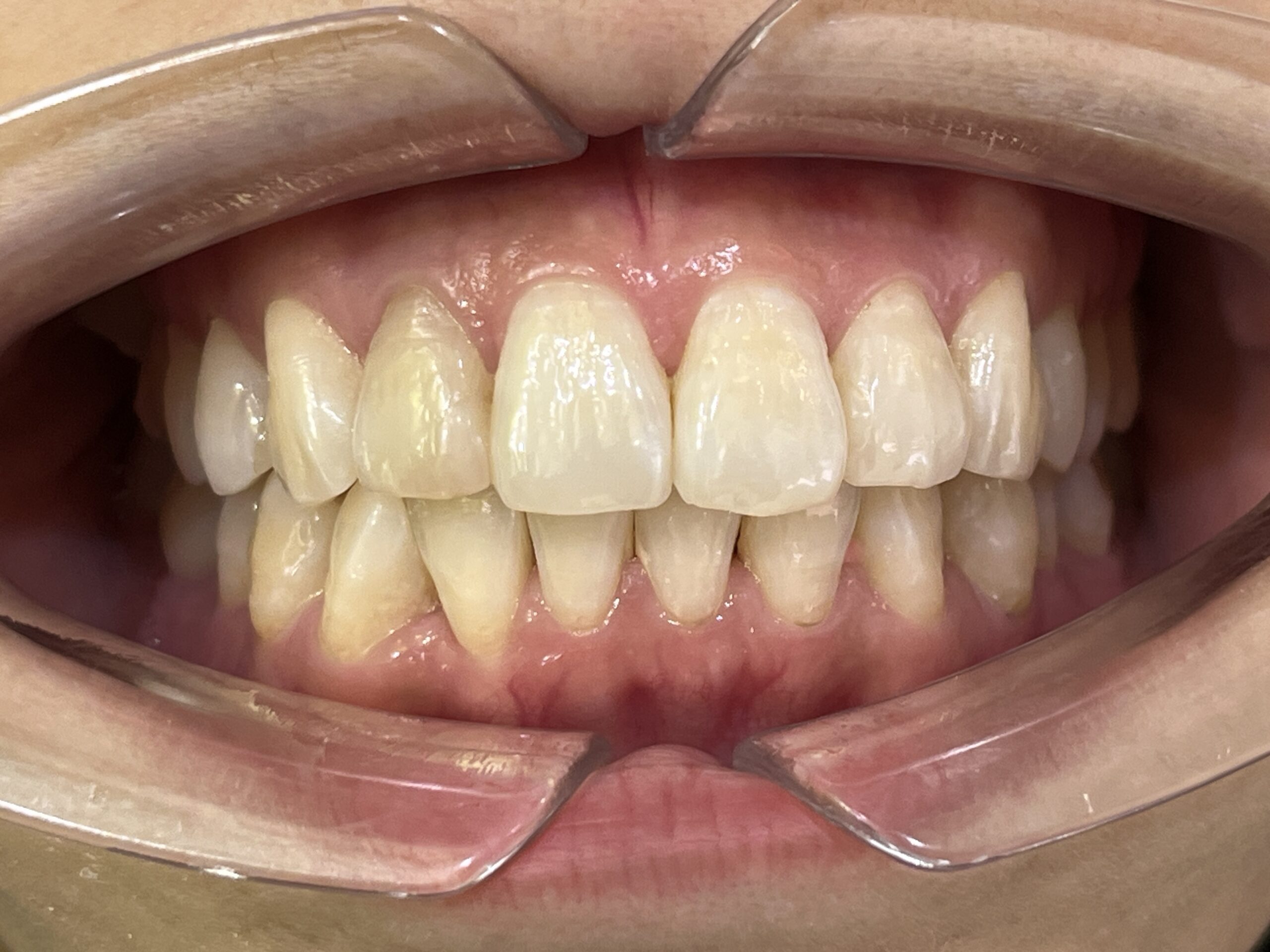
叢生の症例3(マウスピース矯正)
治療前後(BEFORE/AFTER)






症例情報
| 年齢 | 10代女性、叢生、八重歯 |
| 主訴 | 八重歯、歯のガタガタ |
| 診断 | 叢生 |
| 治療方法 | 上下・マウスピース矯正(抜歯はしていません) |
| 治療期間 | 約2年 |
| 費用総額 | 1,100,000円(税込) |
| リスク・副作用 | 痛み/歯根吸収/歯肉退縮/後戻り など |
本症例では八重歯がかなり出ている叢生状態でした。
下顎前歯のガタガタも併せて治したいというご希望でした。
抜歯も検討しましたが、スキャナーによるシミュレーション、精密検査により歯列のスペースを確保しかみ合わせも意識しながら歯並びを整えるため、抜歯をしないで矯正治療を行いました。
思春期で難しいながらもマウスピース矯正で行い治療後は歯並びとかみ合わせが改善し、
見た目だけでなく歯磨きもしやすい状態になりました。
予約方法について
\ まずは相談だけでも大丈夫です。抜歯・非抜歯の可能性、期間や費用の目安を丁寧にお伝えします。 /
叢生とは?
叢生は、歯が並ぶスペースが不足し、歯が重なったりガタガタに生えたりしている状態です。
見た目だけでなく、歯みがきがしにくくなることで、むし歯や歯周病のリスクにつながることもあります。
叢生の程度や噛み合わせによって適した治療方法は異なるため、症例を参考にしながらご自身に合う方法を確認することが大切です。
叢生についてくわしく知りたい方は
▶ 叢生の原因や治療法について をご覧ください。
叢生矯正をご検討の方へ
叢生は歯が並ぶスペースが不足することで起こる歯並びです。
当院では叢生の矯正治療を多数行っています。
人形町・小伝馬町・日本橋周辺で矯正歯科をお探しの方は
矯正相談をご利用ください。
関連ページ

人形町・日本橋・小伝馬町エリアで矯正歯科をお探しの方は、日本橋歯ならび矯正歯科へご相談ください。
医師紹介はこちらから
